LIVRAISON À PARTIR DE 5.90€ - LIVRAISON OFFERTE DES 149€ TTC DE COMMANDE

Échographes Esaote : la performance de l’imagerie médicale au service des professionnels de santé

Échographes Esaote : la performance de l’imagerie médicale au service des professionnels de santé

Une expertise reconnue dans le domaine de l’échographie

Fondée en Italie dans les années 1980, Esaote fait partie des leaders mondiaux de l’imagerie médicale, spécialisée dans les systèmes d’échographie et d’IRM. Présente dans plus de 100 pays, la marque s’est imposée par sa capacité à concilier innovation technologique et simplicité d’utilisation.
Ses échographes sont conçus pour répondre à des exigences cliniques élevées, tout en garantissant une utilisation fluide et intuitive. Esaote met un point d’honneur à développer des solutions ergonomiques, fiables et durables, adaptées aussi bien à la gynécologie qu’à la rhumatologie, la kinésithérapie, la médecine du sport ou la cardiologie.

Des technologies au service de la précision diagnostique

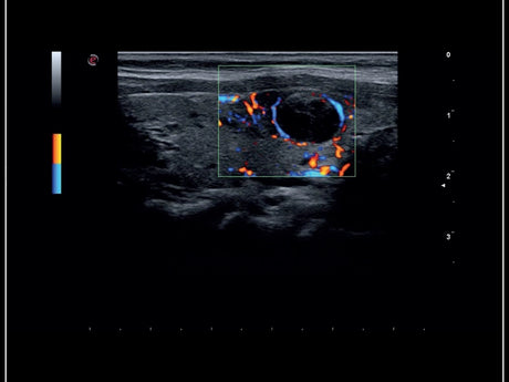
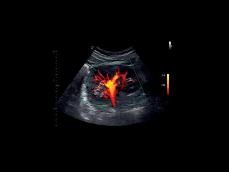
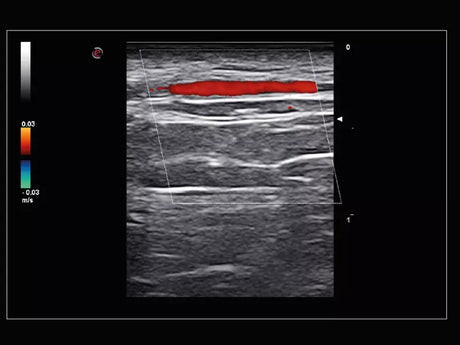
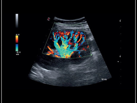
La qualité d’image est au cœur de la philosophie Esaote. Grâce à ses sondes de dernière génération et à son traitement du signal avancé, la marque permet une visualisation fine des structures anatomiques, même les plus profondes. Leurs échographes intègrent des écrans tactiles haute résolution, une interface claire et une connectivité complète, favorisant un flux de travail rapide et efficace.
Les modèles récents comme le MyLab™Sigma ou le MyLab™A50 illustrent parfaitement cette approche : précision, confort visuel et performances constantes. Les praticiens apprécient également la robustesse du matériel, essentielle dans un usage intensif au quotidien.

Pourquoi choisir un échographe Esaote pour votre cabinet ou clinique ?

Performance d’imagerie et fiabilité clinique

Les échographes Esaote offrent une restitution d’image d’une grande précision, permettant un diagnostic fiable dans toutes les spécialités. Le traitement numérique optimise le contraste et la netteté, réduisant les artefacts et améliorant la détection des tissus pathologiques. Ces performances sont particulièrement appréciées en gynécologie, où la lisibilité des structures pelviennes ou obstétricales est déterminante.

Une utilisation intuitive pour un flux de travail fluide

Les systèmes Esaote sont pensés pour simplifier la pratique. Leur interface tactile personnalisable, la gestion intuitive des préréglages et la rapidité d’allumage permettent de gagner un temps précieux pendant les consultations. L’utilisateur peut adapter facilement le mode d’examen selon le type de sonde ou l’application clinique souhaitée.

Une solution adaptée à tous les environnements médicaux

Esaote propose des échographes pour tous les contextes : modèles fixes en clinique, compacts pour les cabinets libéraux ou portables pour les praticiens intervenant à distance. La conception robuste et légère des appareils portatifs, comme le Q7 Esaote, facilite leur utilisation lors d’examens à domicile ou dans des structures mobiles.
Chaque appareil bénéficie d’une garantie constructeur et d’un service technique certifié, gages de sécurité et de longévité pour les utilisateurs professionnels.

Comparatif des échographes Esaote disponibles chez nous


Modèle Type Écran Portabilité Domaines d’application Points forts
  Echographe MyLab™Sigma Compact 15,6’’ tactile Transportable Gynéco, imagerie générale Haute qualité d’image, interface intuitive
Echographe MyLab™A50 Fixe 21,5’’ HD Non Gynéco, radiologie Excellent confort visuel, haute résolutio

Echographe MyLab™X1 Portable 15,6’’ tactile Oui Imagerie musculosquelettique, gynéco Compact, rapide à déployer
Échographe portable sans fil Q7 Sans fil Via tablette/smartphone Ultra-portable Urgences, consultations à domicile Connectivité, praticité, autonomie

Chaque modèle Esaote a été conçu pour répondre à des besoins cliniques spécifiques.
Le MyLab™Sigma est idéal pour un usage polyvalent en cabinet, le MyLab™A50 privilégie le confort d’image pour les examens prolongés, tandis que le MyLab™X1 et le Q7 portable séduisent par leur mobilité et leur ergonomie.

Comment choisir votre échographe Esaote selon vos besoinsAvant de sélectionner un modèle, il est essentiel d’évaluer vos besoins cliniques et la fréquence d’utilisation.
Un gynécologue privilégiera un échographe offrant une résolution d’image très fine et une compatibilité avec des sondes endocavitaires. Un kinésithérapeute ou un médecin du sport recherchera plutôt un appareil portable, léger et rapide à mettre en route. Les praticiens généralistes apprécieront la polyvalence et la facilité d’entretien, tandis que les vétérinaires auront besoin d’un système robuste et facilement transportable.

L’environnement de travail influe aussi sur le choix. En cabinet, un modèle fixe comme le MyLab™A50 assure confort et stabilité d’image. En mobilité, les appareils portables comme le MyLab™X1 ou le Q7 , offrent un équilibre parfait entre performance et praticité.
Les critères techniques, tels que la taille de l’écran, le nombre de sondes compatibles, la connectivité PACS ou la capacité de stockage, doivent également orienter la décision.
MedikaPro accompagne les professionnels dans cette démarche, en proposant des conseils personnalisés pour trouver l’équipement le plus adapté à chaque spécialité et à chaque budget.

Notre accopagnement : expertise et service sur mesure

Choisir un échographe est un investissement technique et stratégique. C’est pourquoi MedikaPro ne se limite pas à la vente : l’entreprise accompagne chaque professionnel de santé avant, pendant et après l’achat du matériel médical professionnel .
Notre équipe vous aide à définir le système le plus adapté à votre pratique, assurent la mise en service et proposent un suivi technique rigoureux.

Retrouvez une selection de la gamme Esaote sur notre boutique en ligne.

L’essentiel à retenir

Esaote s’impose comme une référence mondiale en matière d’échographie médicale grâce à la qualité de ses images, la fiabilité de ses sondes et l’ergonomie de ses interfaces.
Ses systèmes s’adaptent à toutes les pratiques cliniques, du cabinet libéral à la clinique spécialisée.
Contactez-nous et bénéficiez d’un accompagnement complet, du conseil au service technique, pour un achat en toute confiance.

👉 Découvrez la gamme Esaote disponible sur notre boutique et trouvez l’échographe qui répondra à vos besoins médicaux.

Laissez un commentaire

Veuillez noter : les commentaires doivent être approuvés avant d’être publiés.